Call Anytime
+91 99655 16461
Book Appoinment
Home
About Us
Clinic
Faq
Our Services
Common Tooth Problem for Kids
Common Tooth Problem for Adult
Our Other Services
Gallery
Before & After Gallery
Clinic Gallery
Contact Us
Book Appoinment
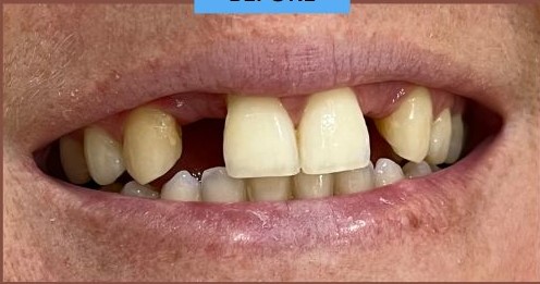
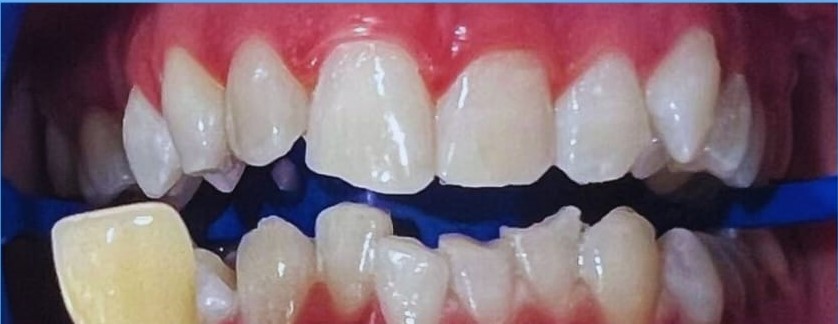
Before After Gallery
Before
After
Before
After
Before
After
Before
After
Before
After